Inici

Ubicació i horaris

Tractaments:

Els nostres tractaments estètics són:

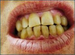
Blanquemanet. Abans:
Blanquejament. Després:
Blanquemanet. Abans:
Blanquejament. Després:
Blanquemanet. Abans:
Blanquejament. Després:
Carilles estètiques. Abans:
Carilles estètiques. Després:
Carilles estètiques. Abans:
Carilles estètiques. Després:
Blanquejament i fundes de ceràmica. Abans:
Blanquejament i fundes de ceràmica. Després:

Carilles estètitques. Abans:

Carilles estètiques. Després:
Carilles estètiques i fundes. Abans:
Carilles estètiques i fundes. Després:

Tractaments en implants:

Els implants dentaris serveixen per substituir dents absents o perduts. Cada implant fa la funció d'arrels artificials, sobre el qual s’assentarà la corona o pròtesis dental.

El procediment a seguir es diferent en cada cas i s’ha de dissenyar personalitzadament. Les fases de cada implant, normalment, són aquestes:

  • Fase inicial d’estudi i planificació
  • Una o diverses actuacions durant la fase quirúrgica
  • Fase restauradora
  • Fase de manteniment

 

 

 

 
 
  Site Map